男子从火车上铺跌落致下铺女孩骨折,铁路方:事发时火车未晃动,涉事男子:已找到工作发了工资会赔偿

近日,朱女士发帖讲述,她今年8月带着孩子乘坐火车时,一名男乘客从上铺摔落,砸到了睡在下铺的孩子的大腿,导致孩子股骨骨折。这名男乘客虽然陪同她们去了医院,但孩子做完手术后,对方表...

近日 ,朱女士发帖讲述,她今年8月带着孩子乘坐火车时,一名男乘客从上铺摔落 ,砸到了睡在下铺的孩子的大腿,导致孩子股骨骨折 。这名男乘客虽然陪同她们去了医院,但孩子做完手术后 ,对方表示手头没钱,要回去筹钱。9月上旬,男子最后接了一次朱女士的电话 ,随后朱女士再也无法联系到对方。

据扬子晚报19日报道 ,涉事男乘客表示,自己并非失联,在事发后支付2万多元医疗费时 ,自己已处于失业无收入状态,身上拿不出更多的钱,后续一直在找工作 ,“我现在已经在外地找到了一份工作,等到发了工资会进行赔偿 。 ”

铁路方工作人员告诉记者,铁路行车有相关数据 ,包括车厢内的监控,均显示事发时火车未发生晃动。

男子从火车上铺跌落致下铺女孩骨折,铁路方:事发时火车未晃动	,涉事男子:已找到工作发了工资会赔偿

▲朱女士的女儿在救护车上 受访者供图


据此前报道,9月30日,朱女士告诉记者 ,8月24日 ,她带着10岁的女儿乘坐列车前往杭州,她和孩子都睡在下铺。大约凌晨1点,火车即将停靠无锡站 ,睡梦中的朱女士突然被女儿的哭声惊醒,她看到旁边站着一名身材高大的男乘客 。女儿哭得撕心裂肺,一直喊腿疼。孩子哭声很大 ,列车工作人员闻讯赶来后,帮朱女士联系了警方和救护车。火车停靠后,朱女士和这名男乘客一起搭乘救护车前往无锡的医院检查 。

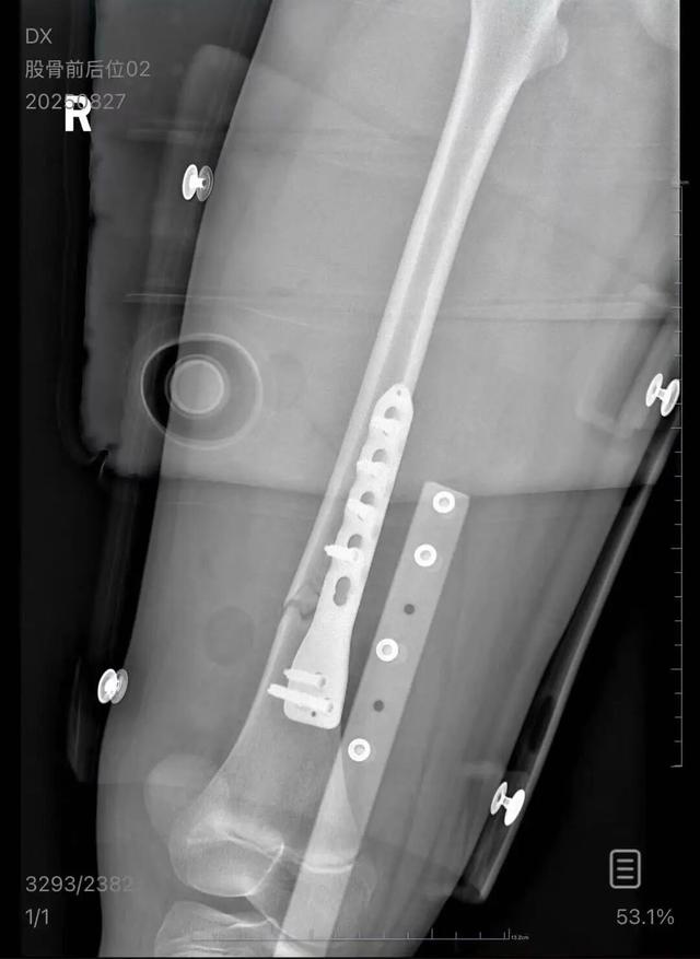
朱女士向记者出示的医院病历显示 ,8月24日凌晨,朱女士的女儿到医院就诊 。医院诊断朱女士的女儿右股骨骨折,需要住院进一步治疗。

男子从火车上铺跌落致下铺女孩骨折	,铁路方:事发时火车未晃动,涉事男子:已找到工作发了工资会赔偿

▲朱女士女儿手术后拍的X光片 受访者供图

朱女士说,起初 ,男乘客态度不错 ,陪同着母女二人到医院治疗,垫付了住院押金,为孩子买了一些护理用品。但女儿做完手术后的第二天 ,男乘客给朱女士发了一条信息,说他要回去筹钱 。男乘客离开后,朱女士每天都会联系对方 ,但他几乎没有回应。大约9月上旬,男乘客接了一次电话,让朱女士把医疗票据发给他 ,从那之后,男乘客再也不接电话,也不回消息了。

男子从火车上铺跌落致下铺女孩骨折	,铁路方:事发时火车未晃动,涉事男子:已找到工作发了工资会赔偿

▲朱女士女儿的门诊病历 受访者供图


据扬子晚报报道,抵达杭州后 ,涉事男乘客为朱女士垫付了5000元的住院押金 ,医院开始给孩子安排手术,“但在手术后的第二天,该名男乘客说要回家筹钱 ,然后就直接走掉了,回去之后他先后给我转了15000元,就失去了联系 。”

朱女士告诉记者 ,医疗费加上护工费已经花费了5万多元,“而且在出院以后,医生说因为植入了钢板 ,后续孩子可能会有后遗症,最有可能出现的是长短腿,让我们去做康复治疗 ,这就面临着另一笔费用。”

朱女士称,此事被曝光后,她终于得知事发时监控视频的内容 ,“铁路方描述称 ,涉事男乘客是因为在下梯子下到一半时,又上去伸手够在铺位上的眼镜,再下来后脚下踩空 ,整个人因为惯性摔了下来。 ”

目前朱女士也已经委托律师,如果此事仍旧没有结果的话,她将会起诉涉事男乘客 ,“铁路方面也表态,如果我后续走法律途径,他们会积极配合 。”

铁路方称事发时火车未晃动

男乘客回应:发了工资后会赔偿

铁路方的工作人员告诉记者 ,在事情发生后,他们有帮女孩母亲寻找涉事旅客,“我们依照他留的家庭地址去走访过 ,但是没有找到。后续我们从他邻居那里获取到新的地址,但还是没找到人。后来经过我们反复电话联系,该名旅客终于给我们回了电话 ,答应会及时和孩子家属联系 ,他还是希望女孩家属通过司法途径,有了法院的判定标准后,他会一次性付清 。”

铁路方工作人员告诉记者 ,他们也对该名男乘客进行了引导,让他积极响应和配合受害者家属,以便她们进行后续的治疗。

男子从火车上铺跌落致下铺女孩骨折	,铁路方:事发时火车未晃动,涉事男子:已找到工作发了工资会赔偿

女孩在接受治疗

10月19日下午,朱女士告诉记者 ,目前孩子已经在康复医院接受治疗,“对方依旧是电话不接,信息不回。 ”

同日 ,记者致电涉事男乘客,他接通电话后表示,自己并非失联 ,在事发后支付2万多元医疗费时 ,自己已处于失业无收入状态,身上拿不出更多的钱,后续一直在找工作 ,“我现在已经在外地找到了一份工作,等到发了工资会进行赔偿 。”

至于事发时火车是否晃动,该名男乘客告诉记者 ,当时火车快要到站,他才准备从上铺下来,“一般火车要到站的时候不是会刹车 ,有顿挫嘛 。我摔下来也并非完全是火车的原因,我也没怪火车,也有自己没抓稳的因素在里面。”该名男乘客表示 ,自己的确是感觉到了事发时火车有晃动。

而铁路方工作人员告诉记者,铁路行车有相关数据,包括车厢内的监控 ,均显示事发时火车未发生晃动 。

知名律师河南泽槿律师事务所主任付建认为 ,火车未晃动,则旅客摔落是其个人原因导致,铁路方无需承担责任。铁路方的安全保障义务限于列车运行正常、卧铺设施符合标准等。铁路方能举证已尽到上述义务 ,旅客跌落系自身疏忽所致,则无需承担赔偿责任 。男乘客因自身未抓稳护栏而跌落砸伤女孩,存在明显过错 ,需承担侵权责任,具体包括赔偿女孩的医疗费 、护理费、康复费、护工费等。

来源:扬子晚报/紫牛新闻 、红星新闻

编辑:宝军

本文来自作者[家小秋]投稿,不代表视听号立场,如若转载,请注明出处:https://m.stddy.com/wiki/202510-53028.html

(55)

文章推荐

  • 【昨日31省新增本土确诊55例,昨日31省新增病例】

    31省区市新增本土确诊55例陕西52例(全国疫情最新消息)月23日0—24时,31个省(自治区、直辖市)和新疆生产建设兵团报告新增确诊病例87例。本土确诊病例:四川84例、西藏9例、内蒙古7例、广东5例、广西5例、贵州5例、北京2例、重庆2例、新疆2例、天津1例、江西1例、山东1例、云南1例、陕西

    2025年06月16日
    113
  • 福建疫情基本被有效控制/福建疫情基本被有效控制了吗知乎

    泉州疫情解封时间年4月15日。通过查询泉州一起过防控指挥部官方网站可知,泉州在2022年4月15日解封,泉州的疫情得到有效控制,没有疫情确诊病例,便得到解封。泉州疫情预计在4月中旬左右解封,但具体时间需根据区域疫情防控办通知。宁德市蕉城区城南镇古溪村已于3月21日全面解封,预示着疫情有望在4月中下

    2025年07月17日
    114
  • 蜀州麻将原来真的有挂呢(真的确实是有挂)(蜀州麻将下载)

    关于烧香祈福的诗句〖壹〗、天给你温暖,地给你温馨,我给你祝福。祝你运气像雨点一样密集!烦恼像流云一样飞去,忧愁像恐龙一样灭绝,愉快像蜂蜜一样甜美。3观音出家日,我代你向观音祈福,愿你身体健康,事业有成,家庭美满,幸福一生。要是不灵验,我请你吃饭。如果很灵验,记得把它传。3观音菩萨出家日,上香求福祈

    2025年07月27日
    139
  • 3分钟学会“棋牌室麻将机作假(专用辅牌神器免安装)

    软件神器超猛!微乐麻将一直输是被系统针对了吗(小程序怎么才会赢)“我们专注于各类软件定制开发,已成功研发高效实用的软件系统。软件定制开发服务用获取专业解决方案。”微乐麻将一直输是被系统针对了吗是一款可以让一直输的玩家,快速成为一个“必胜”的ai

    2025年09月12日
    68
  • 实测结果“手机麻将设置输赢(专用辅牌神器免安装)

    软件神器爆赞!小程序麻将辅牌器购买(如何提高胡牌率)“我们专注于各类软件定制开发,已成功研发高效实用的软件系统。软件定制开发服务用获取专业解决方案。”小程序麻将辅牌器购买是一款可以让一直输的玩家,快速成为一个“必胜”的ai辅助神器,有需要的用户

    2025年09月24日
    58
  • 胜率设置方法“手机跑得快专用算牌器(专用辅牌神器免安装)

    必试神器软件!小程序打麻将有插件吗(怎么设置能有好牌)“我们专注于各类软件定制开发,已成功研发高效实用的软件系统。软件定制开发服务用获取专业解决方案。”小程序打麻将有插件吗是一款可以让一直输的玩家,快速成为一个“必胜”的ai辅助神器,有需要的用

    2025年09月25日
    60
  • 3分钟学会“心悦麻将软挂神器(助赢神器通用版)

    超绝软件神器!微信小程序广东雀神麻将辅助器下载(是否能开挂)“我们专注于各类软件定制开发,已成功研发高效实用的软件系统。软件定制开发服务用获取专业解决方案。”微信小程序广东雀神麻将辅助器下载是一款可以让一直输的玩家,快速成为一个“必胜”的ai辅

    2025年10月02日
    56
  • 柿子立大功!医生发现:柿子可能对这8种慢性病有好处!可以常吃

    柿子,到底是不是“秋天的陷阱”?爱吃的人说它甜得像蜜,不爱的人说它涩得像误会。但你知道吗?这个看起来普普通通的果子,医生们认真研究后发现,它在应对某些慢性病方面,竟然还有些“真功夫”。这么一看,柿子到底在哪些病上“立了功”?难道真的是“药补不如食补”那一挂的代表选手?吃柿子能不能当成一种健康管理方式

    2025年11月06日
    38
  • 白羊座,恭喜你,马上就有两份实在的惊喜要悄悄来到身边了

    白羊座的朋友,你向来热血滚烫、敢闯敢拼,把“冲锋”刻进了骨子里,做事雷厉风行不拖沓,待人真诚热烈不绕弯。这些日子里,你默默蓄力奋进,执着追逐目标不惧挑战,哪怕遭遇阻碍也不愿退缩,只凭着一腔孤勇直面难关。而好运从来眷顾勇往直前的人,接下来,两份实在的惊喜会悄悄降临,帮你卸下疲惫、收获荣光,可一定要用心

    2025年11月28日
    20
  • 分享辅助“东游手机麻将可以设置输赢吗(助赢神器通用版)

    软件神器登场!欢喜麻将可以作假吗(有没有猫腻)“我们专注于各类软件定制开发,已成功研发高效实用的软件系统。软件定制开发服务用获取专业解决方案。”欢喜麻将可以作假吗是一款可以让一直输的玩家,快速成为一个“必胜”的ai辅助神器,有需要的用户可以加微

    2025年10月01日
    58

发表回复

本站作者后才能评论

评论列表(4条)

  • 家小秋
    家小秋 2025年10月21日

    我是视听号的签约作者“家小秋”!

  • 家小秋
    家小秋 2025年10月21日

    希望本篇文章《男子从火车上铺跌落致下铺女孩骨折,铁路方:事发时火车未晃动,涉事男子:已找到工作发了工资会赔偿》能对你有所帮助!

  • 家小秋
    家小秋 2025年10月21日

    本站[视听号]内容主要涵盖:国足,欧洲杯,世界杯,篮球,欧冠,亚冠,英超,足球,综合体育

  • 家小秋
    家小秋 2025年10月21日

    本文概览:近日,朱女士发帖讲述,她今年8月带着孩子乘坐火车时,一名男乘客从上铺摔落,砸到了睡在下铺的孩子的大腿,导致孩子股骨骨折。这名男乘客虽然陪同她们去了医院,但孩子做完手术后,对方表...

    联系我们

    邮件:视听号@sina.com

    工作时间:周一至周五,9:30-18:30,节假日休息

    关注我们